4402 E 32nd St Suite B, Joplin, MO 64804, United States
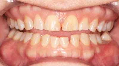
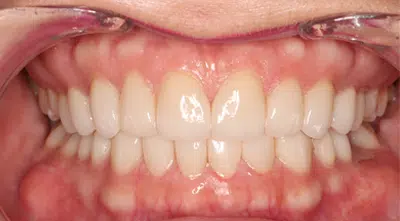
Smile Gallery
Welcome To Our Smile Gallery
At Joplin Family Dental in Joplin, Dr. Grant Kirk[/sc] regularly deliver the personal attention and beautiful results that our patients deserve.
Dr. Kirk, Dr. Paustian, and the team at Joplin Family Dental invite you to view this before-and-after smile gallery gallery showcasing some of the results enjoyed by our patients.
